こども矯正
こどものための矯正プログラム
マイオブレスメンバーの宮城県唯一の認定クリニックです。
マイオブレス(MRC)矯正(myobrace system)
マイオブレス矯正とは?
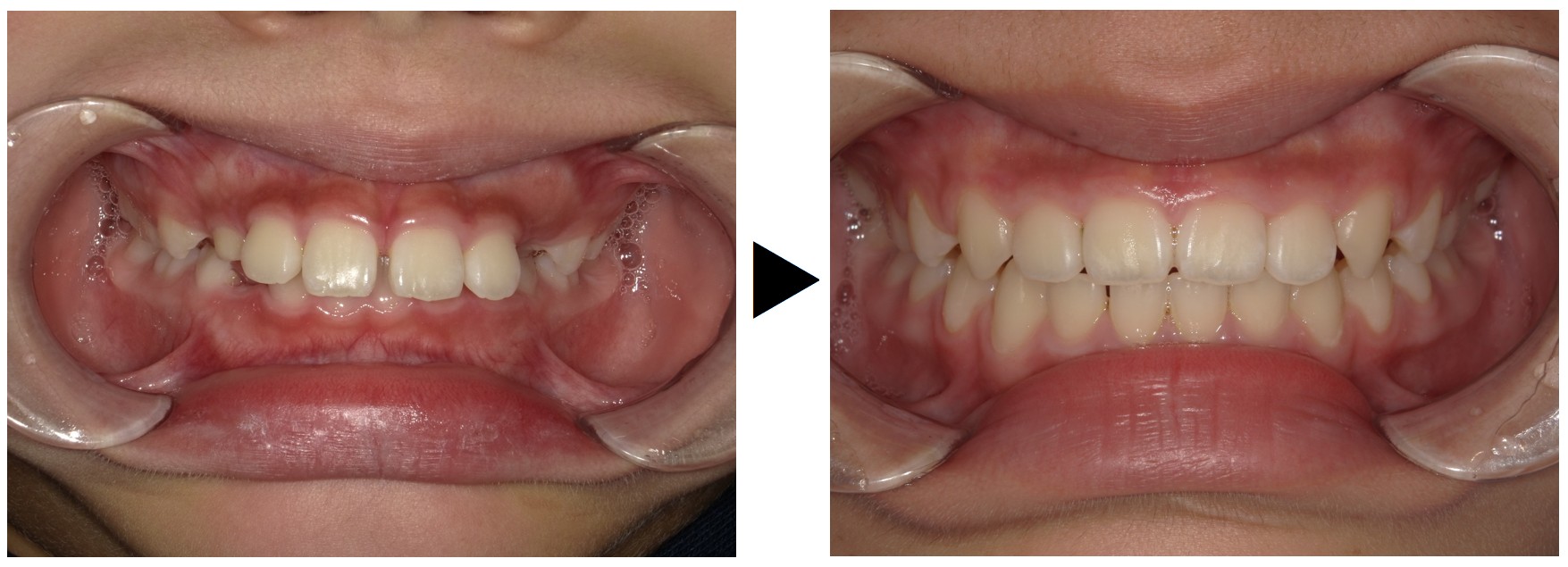
悪くなった歯並びや咬み合わせといった『結果』に対して、形を力で治す治療ではなく、悪くなる『原因』を診断して、健全な成長と発育を促すアクティビティー(トレーニング)とマウスピース型トレーナーを活用し、原因改善する治療法です。
当院は歯並びを悪くした根本原因から治していくMRC矯正を導入している宮城県内唯一の加盟医院です。

マイオブレスの特徴

従来の矯正治療にありがちな、
- 歯を抜く
- ブラケット(歯の表面に装着するワイヤー)をつける
- 矯正治療終了後のリテーナー(保定装置)をつける
ということを、MRC矯正ではしません。
- 歯を抜かない
- ブラケットをつけない
- リテーナーも必要ない
- 顔つきが理想的になる
というのが、MRC矯正の特徴です。
マイオブレスの治療のゴール
唇が上下閉じている
お鼻で呼吸ができる
舌が上あごに付いている
正しい飲み込み方ができる
の4つ。
この4つができるようになることで、正常な咬み合わせや理想的な歯並びに改善していきます。
矯正治療のながれ
- 検査
-
レントゲンやお写真を撮ります。
- 診断結果を元にコンサルテーション
-
お子さまの歯並びが悪くなってしまった原因、治療プラン、費用について詳しくお話します。
- 矯正治療開始
-
お子さまに合ったマイオブレスと進めていくにあたってのファイルをお渡しし、使用方法の説明を行います。
- その後
-
月1回程度の通院になります。
アクティビティがんばるとごほうびたくさんもらえるよ






最後に
MRC矯正はマウスピース型のトレーナーを用いて、唇や舌の筋肉や機能を整え、呼吸・姿勢・飲み込みなど歯列不正に影響する原因を改善するというものです。このマウスピース型トレーナーを1日1時間(30分+30分)と就寝時に装着し、成長や発達に合わせた舌・唇の筋機能のトレーニングをおこなうことで、歯並びや咬み合わせの不正を防ぎ改善するものです。
毎日の積み重ねがとても大事です!!
舌・唇のトレーニングで、歯並び・呼吸・姿勢・飲み込みを正す治療はお子様にとって理想的な治療法といえると思います。しかし、自分で取り外しのできる装置というのは、時に継続が難しいこともあります。

- そのため本人とおうちの方の協力が一番の重要事項です。
-
お子様に歯並びを治したい気持ちがあるか、おうちの方がサポートできる環境があるかを確認してから治療を始められるようお願い申し上げます。
費用について
費用に関しては、症例などにより変動致しますのでご興味のある方はまずはお電話にてお問い合わせください。
- 詳しくはお問い合わせください。
- 022-776-8656





いっしょにがんばろう!